
なぜあなたの痛みは改善しないのか?
【月額制が必須】「早く治して競技に復帰したい」学生の方へ。
正直、焦っていませんか?
大切な試合や練習を休んでいる時間はありません。通常の施術では時間がかかりすぎる痛みに、焦りや不安を感じていませんか?
単なる「様子見」や一時的なケアでは、組織の深い損傷は治りきらず、復帰後の再発リスクを断ち切れません。集中的な月額アプローチが必要です

【単発利用】「今日中にこの激痛を何とかしたい」、急な痛みで生活がストップしていませんか?
突然のぎっくり腰や寝違えで、歩くことすら困難な激痛に襲われている。
すぐに施術を受けたいのに、当日対応してくれるか不安ではありませんか?
激しい急性痛は、炎症を早く抑え、組織の回復を即座に加速させることが重要です。従来の電気やマッサージだけでは時間がかかりすぎます。

【月額制が必須】「他院に通っているが骨の癒合が遅い」と悩んでいませんか?
医師や他の施術所のケアを受けているが、「骨がなかなか付かない」「回復が遅い」と不安を感じたり、ドクターから言われたりして、転院を検討していませんか?
骨の癒合や組織の回復には、集中的かつ継続的な細胞レベルのアプローチが不可欠です。従来のケアで回復が遅い場合、世田谷区初の月額制アキュスコープで自己回復能力を最大限に引き出すべきです。




※こちらの電話番号は、患者様からのご予約・お問い合わせ専用の電話番号です。患者様からの電話を受けることが出来なくなるので、営業目的の電話は一切ご遠慮いただきますよう、お願いいたします。
また、いかなる営業に関しましても相談料として3万円を払った後に対応いたします。
送信をした際にその旨を了承したものとします。
今までお手伝い頂いている業者様は適応外ですのでご連絡くださいませ。

アキュスコープとは
アキュスコープは、微弱電流を用いて痛みや炎症を抑え、組織の修復を促す治療機器です。
通常の電気治療と異なり、身体の状態をリアルタイムで測定し、最適な刺激を与えるため、
一般の方だけでなくスポーツ選手の早期回復に最適な治療法とされています。
- 即効性があり、痛みを素早く軽減
- 炎症を抑え、腫れを早く引かせる
- 靭帯や筋肉の修復を加速し、回復を早める
- 再発防止のための神経伝達改善
- パフォーマンス低下を防ぎ、競技復帰を早める
多くのアスリートがアキュスコープを活用し、 通常より早くスポーツ復帰を果たしています



動画でご覧になりたい方はこちらから!
【世田谷区初のパイオニア】尾山台駅前整骨院が選ばれる3つの理由
世田谷区初!症状に合わせてご提案 単発 /月額制アキュスコープ
世田谷区でいち早く月額制を導入したパイオニアとして、長引きそうなケガや再発の不安を抱える方の経済的・精神的負担を根本から解消します。
ぎっくり腰や寝違え、急な捻挫など、「いますぐ痛みをどうにかしたい」という緊急性の高い症状には、即効性を重視した単発利用で臨機応変に対応します。
スポーツでの早期競技復帰や、しっかり時間をかけてケガの根本治癒を目指す方には、集中的に施術できる月額制をご提案します。

小学生からプロまで対応!高性能システムを併用した精密な施術
アキュスコープの力を最大限に引き出すためには、痛みの「根本原因」の特定が不可欠です。
当院では、高性能 通電システムを用いた精密な検査を併用し、患部だけでなく身体全体のバランスや細胞レベルの状態を詳細に分析します。
その精密な検査結果に基づき、アキュスコープの微弱電流が最も効果を発揮するポイントと周波数をオーダーメイドで設定。
小学生の繊細な体からプロの強靭な肉体まで、個々の状態に合わせた最適な施術を提供します。

尾山台駅から徒歩30秒!継続的な施術を可能にする圧倒的な利便性
治療効果を最大化するには、定期的に通うことが重要です。当院は尾山台駅 大井町方面乗り場から徒歩30秒という圧倒的な好立地。仕事帰りやお買い物のついでにも、ストレスなく継続してご来院いただけます。
どんなに優れた治療でも、通い続けられなければ意味がありません。この利便性が、アキュスコープによる早期復帰と根本改善を力強くサポートします。

小学生からプロまで!スポーツ外傷・難治性の痛みに対する施術実績
【早期復帰 MAX】シンスプリントに悩む高校生サッカー選手
他院でアキュスコープ施術を7回受けるも痛みが改善せず、絶望的な状態でした。
当院独自の足首の整復と超音波を併用した施術で、回復を根本からサポート。月額制アキュスコープで炎症の根絶を目指しました。
結果、痛みが1週間で消失し、通常より大幅に早い10日で競技に復帰。復帰後も継続加療で1ヶ月後には再発の不安なく完全に治癒しました。
【緊急対応 】試合2週間前の膝靭帯損傷に挑むプロ格闘家
試合2週間前に膝の靭帯を損傷。単発で痛みだけを取るのではなく、将来を見据えた月額制での根本的な靭帯回復を提案。
テーピング、固定指導に加え、アキュスコープで靭帯の自己修復力を極限まで高める施術を継続。最短で試合に間に合わせる計画を立案・実行。
無事棄権することなく試合に出場。試合後も靭帯の根本ケアが必須のため月額制を継続し、現在は痛みなく練習を送っています。
【即効性】歩行困難な「ぎっくり腰」への臨機応変な対応
歩くのも厳しい激しいぎっくり腰。アキュスコープは万能ではありません。まず施術で関節の不整を正確に取り除くことが最優先。
関節を整えた後、アキュスコープを使用して、損傷した筋肉や組織の回復速度を極限まで加速させます。
施術とアキュスコープの併用により、帰りにはご自身の足で歩いて帰宅。次の日にはさらなる回復が見られ、日常生活に早く復帰できました。
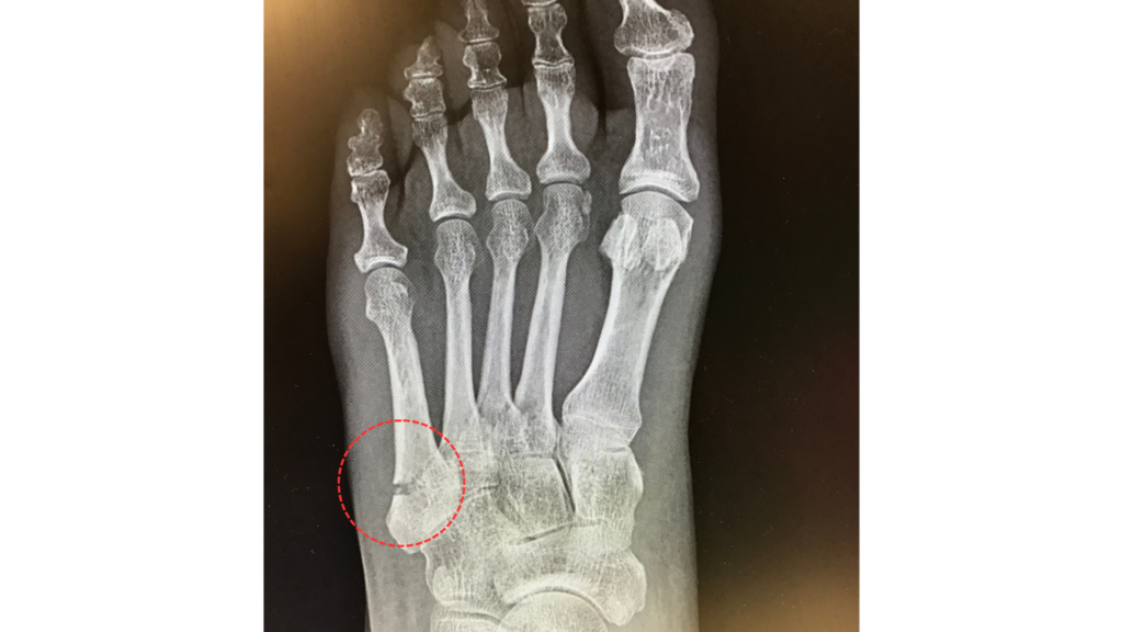
捻挫と自己判断した中学生サッカー選手の早期復帰
自分で「捻挫」と判断した足首の痛みでしたが、骨折の可能性を疑い、すぐにギプス固定と医師への紹介を実施。
骨折と診断された後、月額制アキュスコープを併用することで、患部の治癒を加速。通常よりも1週間早く競技に復帰することができました。
正確な検査と、アキュスコープによる早期回復プログラムが、大切な成長期の復帰をサポートしました。
【難治性克服】オペ適応を回避!ヴァイオリニストの手首粉砕骨折
他院で4回の整復後もオペ適応と診断された、左手首の粉砕骨折。
提携整形外科での整復後、時間が経っているため骨が付かない・癒合したとしても重度の変形による痛みの発生のリスクがありました。そこで月額制アキュスコープで骨癒合を強力に促進。
無事骨癒合に成功し、ヴァイオリン演奏に完全復帰されました。「骨折の難治性」にもアキュスコープが有効であることを証明した事例です。
料金プラン:【早期復帰のための】単発・月額制の戦略的な選択肢
当院の治療は「最速の改善」を最優先します
当院の治療は、保険適用内の施術を土台に、早期回復を叶える「アキュスコープ(自費)」、そして症状に応じた「実費調整」を戦略的に組み合わせます。
例えば、 膝のケガでも足首の調整が必須など、根本改善に必要な保険外の実費調整が必要なケースがあります。
あなたのゴール達成に向けた2つの戦略的プラン
集中ケア・早期復帰のための月額定額制プラン
世田谷区初の月額定額制(保険施術ベース)プランです。費用を気にせず、集中的に施術の土台を築き、そこにアキュスコープを併用することで早期復帰を最優先します。
月額 \9,900円(1回あたり15分の保険施術が対象)
アキュスコープ
月額定額コース:9,900円
(1か月間有効)
医療助成を利用できる方は、初回に9,900円+初診料をお支払いいただくと、2回目以降は0円でアキュスコープをご利用いただけます。
ー10回利用時の料金比較ー
初回:1,500円+9,900円
2回目以降:0円
9,900円+1,500円+(0円×9)=11,400円
初回:1,500円+2,200円
2回目以降:2,200円
1,500円+(2,200円×10)=23,500円
差額は12,100円
大学生以上・医療助成が利用できない方の料金:保険利用(タップして開く)
初回:9,900円+初診料
2回目以降:600円~
LINE登録で初回を1,100円オフ
保険を利用しない方の料金(タップして開く)
初回:9,900円
2回目以降:7,700円
LINE登録・Instagramクーポン使用で初回を1,100円オフ
- いずれも通常施術をふくみます。
- 別途、テーピングなど固定材料費が発生する場合があります。
医療助成については、お住まいの地域でご確認いただくか、尾山台駅前整骨院までお問い合わせください。

アキュスコープによる即効治療【単発利用プラン】
アキュスコープ(自費)による、損傷した組織の回復スピードを飛躍的に高める治療です。
ぎっくり腰や寝違えなどの急な痛みに。
単発 \2,200円(1回あたり\15分)

実費診療について(原因が明確でない痛み、整形外科管理下の場合など)
医師の管理下にある症状(投薬・湿布処方期間内、オペの診断がある場合)や、保険適用とならない原因が明確でない痛みは、実費診療となります。当院の専門的な診断と治療のみを受けていただくプランです。
初回/再診(三か月以上経過した患者様)検査料・施術料: \9,900円
二回目以降施術料:\7,700円
対応可能症例
当院で対応し、改善実績があったもののみ載せてあります。
お悩みの症状の参考にしてください。
お悩みの症状が分からない場合はお気軽にお問合せ下さい。
アキュスコープ対応可能な傷病名リスト(頸部・肩甲帯)
頸(首)周りの症状

- 急性頚部痛(寝違え)
- 炎症と筋スパズムの早期鎮静化。
- 頚椎捻挫(むちうち症)
- 事故後の深部組織の損傷ケア、治癒期間の短縮。
- 胸郭出口症候群(神経・血管の圧迫症状のケア)
- 圧迫を受けている周辺組織の炎症と緊張の緩和。
- 頚椎椎間関節症
- 関節周囲の炎症と痛みの緩和。
- 頭痛(筋緊張性、頚椎由来のもの)
- 頚部・頭部の筋緊張と組織の微細損傷のケア。
肩周りの症状(頸部と関連性の高いもの)

- 肩関節捻挫(スポーツや外力によるもの)
- じん帯・関節包の修復促進。
- 肩関節周囲炎(いわゆる四十肩・五十肩の炎症期)
- 激しい炎症と痛みの早期鎮静化。
体幹部・腰周りのケガ
微弱電流の組織修復作用により、急性的な損傷部位の早期鎮静化と回復をサポートします。
腰・体幹部のケガ

- 急性腰痛(ぎっくり腰)
- 急性的な炎症と筋肉の過緊張、関節の微細な損傷の早期鎮静化に有効です。
- 腰椎椎間関節捻挫
- 腰の関節を包む袋や靭帯の損傷に対する炎症・痛みの緩和と回復を促進します。
- 背筋の肉離れ / 筋挫傷
- 損傷した筋繊維の再生を強力に促し、早期回復をサポートします。
- 仙腸関節捻挫
- 骨盤の要となる仙腸関節周辺の靭帯・組織の損傷に対する炎症鎮静と安定化に貢献します。
- 椎間板ヘルニア(の炎症期における周辺組織の損傷ケア)
- 神経や周辺組織の炎症を緩和し、椎間板への負担軽減と組織の回復をサポートします。
当院のアキュスコープが貢献できる下半身のケガ
微弱電流の組織修復作用により、重度の捻挫、肉離れ、骨膜炎などの炎症と損傷の回復を強力にサポートし、早期復帰を目指します。
股関節・太もものケガ

- 股関節捻挫
- 関節周辺の靭帯や関節包の損傷、炎症の鎮静化と機能回復を促します。
- 肉離れ(大腿四頭筋、ハムストリングス、内転筋など)
- 損傷した筋繊維の再生を強力に促進し、早期の競技復帰をサポートします。
- 筋挫傷(打撲による筋肉の損傷)
- 内出血や腫れの吸収を早め、深部の筋組織の早期回復を図ります。
膝周りのケガ

- 膝靭帯損傷(内側側副靭帯、外側側副靭帯の損傷)
- 靭帯組織の自己修復を促し、膝関節の安定性回復に貢献します。
- オスグット・シュラッター病
- 成長期に起こる膝下の腱や骨膜の炎症・損傷の鎮静化と組織修復。
- ジャンパー膝(膝蓋腱炎)
- 膝蓋腱周辺の慢性的または急性の炎症と微細な損傷のケア。
- ランナー膝(腸脛靭帯炎)
- 膝外側の靭帯と骨との摩擦による炎症の鎮静化と組織のケア。
足首・足部のケガ

- 足関節捻挫(重度のじん帯損傷を含む)
- 損傷したじん帯の早期再生を促し、腫脹(腫れ)と痛みを迅速に軽減します。
- シンスプリント(脛骨過労性骨膜炎)
- 骨膜の炎症を細胞レベルで鎮静化し、疲労骨折への進行を防ぎます。
- アキレス腱炎 / アキレス腱周囲炎
- 腱組織の微細損傷と炎症をケアし、痛みの根本原因にアプローチします。
- 足底筋膜炎(足底腱膜炎)
- 足裏の腱膜の炎症と損傷に対し、組織の修復と柔軟性の改善を図ります。
- 疲労骨折(の骨癒合促進アプローチ)
- 骨の再生を促進し、通常よりも早期の復帰を目指します。
【 STOP! その痛み、長引かせないでください 】
「もう少し様子を見よう」という判断が、あなたの早期復帰を遠ざけ、痛みを根付かせています。
悩んでいる時間、練習を休んでいる時間は、あなたが目指すパフォーマンスの維持を妨げるだけです。
当院は、単なる対処療法ではなく、微弱電流アキュスコープによる「細胞レベルの修復」と「プロレベルの早期復帰」を最優先する専門院です。
しかし、当院の月額制アキュスコープは、施術の「質」を徹底的に維持するため、一度に施術できる人数に限りがあります。
早期復帰を本気で目指すなら、今すぐ専門家の手を確保しなければなりません。
世田谷区初の専門アプローチで、復帰までの道のりを最短で、そして確実なものに。
決断は、今です。
痛みからの卒業は、すぐの行動から始まります。

※こちらの電話番号は、患者様からのご予約・お問い合わせ専用の電話番号です。患者様からの電話を受けることが出来なくなるので、営業目的の電話は一切ご遠慮いただきますよう、お願いいたします。
また、いかなる営業に関しましても相談料として3万円を払った後に対応いたします。
送信をした際にその旨を了承したものとします。
今までお手伝い頂いている業者様は適応外ですのでご連絡くださいませ。


梅谷 哲也(うめたに てつや)
生年月日:1977年7月20日
【資格および経歴】
柔道整復師
柔道整復学専科教員資格

須田 大貴(すだ だいき)
生年月日:1994年11月25日
【資格および経歴】
柔道整復師
ハワイ解剖実習過程 修了

岸本 一真(きしもと かずま)
生年月日:1999年4月29日
【資格および経歴】
柔道整復師
当院が選ばれる理由
分かりやすく丁寧に説明をします

患者さんのお身体はとても大切です。
当院では、必ず施術内容にご納得いただいた上で治療を進めます。
一般的な整骨院や整体院では、痛い箇所だけを聞き、すぐにマッサージを始めるケースが多いのが現状です。
当院では違います。
初回の治療では検査やカウンセリングにしっかり時間を取り、痛みの原因やこれまでの経緯、そして痛みが取れた後にどうなりたいのかまで丁寧にお伺いし、最適な治療を提供いたします。
豊富な施術経験

当院のスタッフは全員、国家資格を持つ柔道整復師です。
東京都や埼玉で屈指の患者数を誇る施設での豊富な経験を持ち、数々の難しい症例も経験してきました。
オリンピック選手やシニア大会で上位入賞した柔道選手の治療を担当し、現在も大学柔道部のトレーナーとして活動しています。
また、日々研鑽を重ねるため、多くの勉強会に参加し続けています。個々の原因を特定し、根本的な治療を提供することを大切にしています。
担当制・マンツーマン施術

尾山台駅前整骨院では、気を使わずリラックスして施術を受けていただけます。マンツーマンで施術を行うため、あなたの悩みや不安に直接向き合うことができます。また、清潔な施術ベッド、心地よい室内環境、リラックスできる音楽など、快適に過ごせる空間づくりを徹底しています。心身ともに安心して施術を受けられる環境を整え、あなたの体だけでなく気持ちにも寄り添うサポートを提供しています。
尾山台駅から徒歩30秒の好立地!

当院は尾山台駅から徒歩30秒の場所にあります。
お車の場合は等々力通の付近のコインパーキングをご利用いただけると当院までスムーズに御来院できます。
全国的にも珍しいアキュスコープを完備

尾山台駅前整骨院では、NASAが開発した「アキュスコープ」を使用して、症状を改善へと導きます。これらの機器は欧米や日本の多くのスポーツチームでも活用されており、特にアスリートから高い評価を受けています。アキュスコープは人体内の電気に近い微弱な刺激(一般的な電気治療器の1/1000)を利用し、痛みを感じにくく優しい治療が可能です。当院では、高い技術と経験を持つスタッフが丁寧に施術を行いますので、安心してご相談ください。
無駄にたくさん通わせないから

尾山台駅前整骨院では、患者様に無駄に通わせることは一切いたしません。
そのため、回数券の販売も行っておりません。
施術では、患者様のお身体の状態を丁寧にお伝えし、納得していただいたうえで治療プランを提案しております。
また、お怪我の治療については、アキュスコープの月額プランを導入し、患者様の金銭的負担を軽減することを心がけています。
施術後もLINEで無料相談を受け付けるなど、アフターフォローにも力を入れています。
たくさんの口コミをいただいてます

尾山台駅前整骨院のGoogle口コミをご覧いただければ、多くの方々から選ばれている理由が一目でお分かりいただけると思います。これまで幅広い症状を改善し、多くの患者様のお力になってきました。これからも皆様の健康と笑顔を支えるため、日々努力を重ねてまいります。
尾山台駅前整骨院の施術が
他の整骨院や整体院と違う理由
施術方針に関して
| 当院 | ◎根本改善 不調の原因に対する施術を行う また、必要に応じて生活指導・食事・トレーニングをお伝えします。 そのため不調の出ている場所に触らないこともあります |
| 他の病院 | ×対処療法が多い 根本的に改善している場所も知っていますが、 ほとんどは対処療法 |
| 他の整骨院 | ×対処療法が多い 根本的に改善している場所も知っていますが、 ほとんど痛みの原因への対処はない |
カウンセリング検査の違い
| 当院 | ◎丁寧な検査と説明 他では、分からなかった痛みや不調の原因を検査します。 また、治らなかった原因、これからどうすれば治るのか丁寧に 説明します |
| 他の病院 | ×慢性的な痛みは苦手 ケガに関してはレントゲンなどの検査や専門性が 素晴らしいです。 |
| 他の整骨院 | ×マニュアル通り 最初から決まった検査・説明・施術を 全員の患者さんに行っている |
施術の違い
| 当院 | ◎オーダーメイド施術 正確な検査に則した的確な施術を 行います。 |
| 他の病院 | ×湿布や痛み止め ケガに関してはレントゲンなどの検査や専門性が 素晴らしいです。 |
| 他の整骨院 | ×マニュアル通り 最初から決まった施術を行い、痛みの改善がなければ 全て歪みのせい。 |
アフターフォロー
| 当院 | ◎相談可 店舗公式LINEまでご連絡いただければ来院前相談 や施術後の相談等承っております。 |
| 他の病院 | ×なし |
| 他の整骨院 | ×一部電話対応 |
- 慢性症状を保険で診てほしい方
- 長時間気持ちよくマッサージをしてほしい
- 絶対に一回で治してほしい
(※症状により治ることもあります。) - 『この施術してほしい!』などの注文のある方
- 精神病院通院中の方
- 自分の身体に対してある程度の金銭を掛けられる方
- 悩んでいる症状をよくしたい方
- 通院日数が確保できる方
- 身体の使い方や予防方法まで知りたい方
- 施術プランにご納得いただける方

※こちらの電話番号は、患者様からのご予約・お問い合わせ専用の電話番号です。患者様からの電話を受けることが出来なくなるので、営業目的の電話は一切ご遠慮いただきますよう、お願いいたします。
また、いかなる営業に関しましても相談料として3万円を払った後に対応いたします。
送信をした際にその旨を了承したものとします。
今までお手伝い頂いている業者様は適応外ですのでご連絡くださいませ。



【住所】
東京都世田谷区等々力5-5-3
第20菊地ビル-3F
【休日】
日曜
予約優先制
| 受付時間 | 月 | 火 | 水 | 木 | 金 | 土 | 日 |
| 10:00~ 12:30 | 〇 | 〇 | 〇 | 〇 | 〇 | 〇 | ー |
| 15:00~ 21:00 | 〇 | 〇 | 〇 | 〇 | 〇 | △ | ー |
※祝日は10:00~16:00の受付となります

